症例紹介
症例紹介

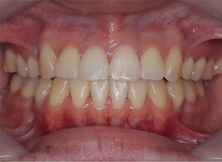
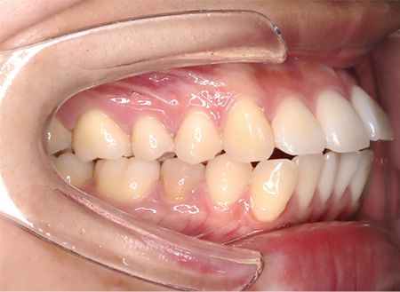
上顎前突(出っ歯)
一般に「出っ歯」と呼ばれる状態。上顎の前歯が下顎の前歯よりも前方に位置する不正咬合の一種です。上顎が前方に突出している状態や下顎が後退している状態となります。この状態は、咀嚼や発音、審美面に影響を及ぼすことがあり、改善が必要な場合も多いです。程度によっては小臼歯を抜歯する必要もございます。












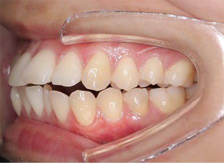
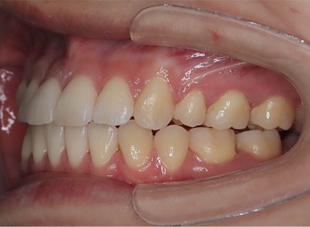
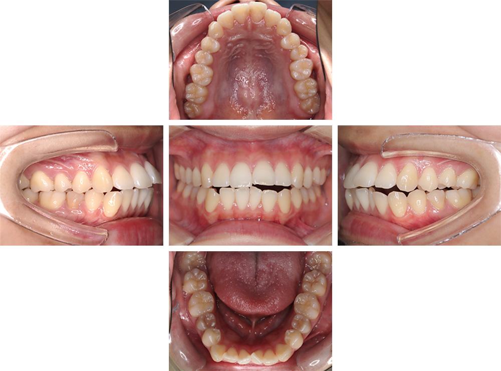
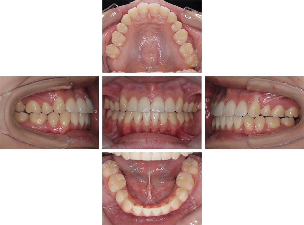
| 主訴 | 開咬傾向および上顎前歯の突出感 |
|---|---|
| 診断名あるいは 主な症状 |
上下顎前突、開咬、叢生 |
| 年齢/性別 | 24歳・女性 |
| 矯正ステージ | 大人の矯正治療 |
| 治療方法 | ワイヤー矯正 |
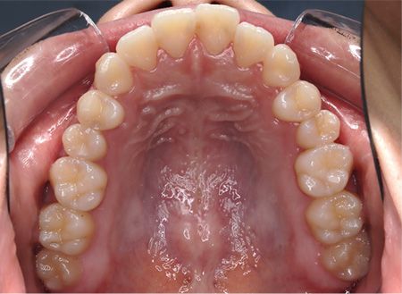
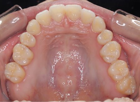
| 抜歯部位/ 抜歯有無 |
上顎両側第一小臼歯、 下顎両側第二小臼歯 |
|---|---|
| 治療内容 | 抜歯したスペースを使用し、ガタガタの改善と上下顎前歯を後退させた。 歯科矯正用アンカースクリューを用いて開咬の改善を行った。 |
| 費用 | 83万程度(検査料金・表側矯正治療料金・歯科矯正用アンカースクリュー・審美ブラケットを含む) |
| 治療期間 | 2年8ヶ月 |
| 主なリスク・ 副作用 |
痛み、歯根吸収、歯肉退縮、虫歯、後戻り |

叢生(そうせい)/八重歯
叢生とは、歯並びの乱れを指し、歯が顎のスペースに収まりきらず、重なり合って生えている状態をいいます。この状態は歯磨きのときにブラシがしっかりと届きにくく歯垢が残りやすいため、むし歯や歯周病の原因になります。成人矯正においては程度により抜歯する必要もあります。

開咬(かいこう)
開咬とは、奥歯が噛んでいて、前歯の上下の歯が噛み合っていない状態です。習癖という子どもの頃の指しゃぶりや舌の癖が原因で起こることがあります。主に発音や見た目に影響し、場合によっては食べ物をうまく噛み切れないなどの問題が生じます。

過蓋咬合
過蓋咬合とは、上下の歯が噛み合った際に、上の前歯が下の前歯に覆いかぶさってしまう状態です。過蓋咬合は、歯の健康や口腔機能に悪い影響を与え、長期的には顎関節症のリスクを増大させることにつながります。

下顎前突(受け口)
下顎前突(受け口)は、下顎が上顎よりも前方に位置している状態を指し、上の顎が小さい、もしくは下の顎が大きいことで起こります。歯並びが問題の場合は歯列矯正で治療しますが、骨格的な問題の場合は骨切りといった外科的な処置が必要となる場合もあります。

空隙歯列(すきっ歯)
一般的には「すきっ歯」と呼ばれ、歯と歯の間に隙間が見られる状態のことを指します。あごと歯の大きさの不調和によるもののほかに様々な原因があります。
*このページで使用されているイラストは代表的な不正咬合の説明を目的としたもので、個別の症状(治療前)を意図したイラストではありません。